特殊な入れ歯
どのようなタイプの入れ歯を考案するについては、残っている歯の数、歯の動きの程度、残っている歯の位置、残すことのできない歯、審美的な要素そして患者さんの希望や経済性などの様々な状況により決められます。このように、いかに複雑な状況であっても、歯と入れ歯を一体化するように設計することが鍵となります。即ち、咬んだとき入れ歯も歯も動かないことが、よい入れ歯の条件となるわけです。
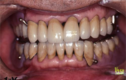
症例 E1 入れ歯と一部の歯の冠・ブリッジの一体化を図った症例
右の下奥歯3本欠損(片側遊離端欠損)、左の下奥歯1本欠損(中間欠損)のため、左の下は冠とブリッジを作成し、それに入れ歯をはめ込むように設計しました。その目的は、歯と入れ歯を一体化することにより、咬む力に対して安定化を期待しました。この症例は、この一体化に必要な歯に冠とブリッジを作成し、できる限り天然の前の歯は設計から除外しました。
入れ歯治療を終了し、22年経過し健康な状態を継続しています。
症例 E2 入れ歯と残っている全ての歯との一体化を図った症例
上の前歯5本欠損のため、咬むことで前歯に大きな負担がかかり、入れ歯が前方と後方の中間を軸にシーソーのように上下に動くようになってしまいます。そこで、入れ歯の不安定を防ぐ目的で残っている全ての歯に冠を作成し、入れ歯と一体化を期待しました。
前歯を失うと咬むときに下の歯(顎と一緒)が前方に動きながら食べ物を咀嚼し、また睡眠中も全く同じ動きをします。とくに、睡眠時は、下の歯の前方への動きが食事の時より多く、そしてその動く力は極めて強いことが解っています。
このようなことから、残っている全ての歯に冠を作成し、それを入れ歯の固定源になることを期待しました。この症例は、入れ歯と残っている全ての歯を一体化したことが奏効し、20年以上経過した現在でも入れ歯も歯も安定し長期にわたり食生活を楽しんでいる様子がうかがえます。

1986.9 初診 |

冠、部分入れ歯治療後 |

初診時 |

抜歯、入れ歯未装着 |

治療終了し、冠、部分入れ歯を装着 |

初診時 |

初診時 |
|
左下抜歯後、長年放置したため上の歯が下がり下の歯槽堤と噛んでいる。 |

2001.7 治療終了10年経過 |

2001.7 |

2001.7 上下の入れ歯未装着 |

2001.7 上下の入れ歯を入れた状態 |
|
現在、22年経過し好ましい経過をたどっている。 |

初診時のレントゲン写真 |

治療後のレントゲン写真 |
症例 E3 咬んだとき、上下の噛み合う歯の数が少ない症例
咬むという機能は、上下の歯同志が咬むことで発揮されます。ということは、上の歯と下の歯が各々ペアーとして咀嚼という役割を果たすことができるわけです。いわゆる上下の歯の噛み合うペアーが多ければ多い程入れ歯の安定化が得られ、それは欠損部(歯の無い部位)が少ないということです。
しかし、上下の歯が比較的多く残っていたとしても、上下の咬み合う歯が少ないことも間々あります。即ち、それは上下の歯の咬み合うペアーが少ないことを意味します。
このように、上下の咬み合う歯が少なければ少ない程、咬む力が残っているペアーの歯に負担がかかり歯の動きを招き易く、ひいては入れ歯の欠損部に余分な力が加わってしまいます。その結果、歯も入れ歯も一緒に動き、よい入れ歯の条件を失ってしまいます。
さらに、咬むという動きは、咬みしめる、そしてすりつぶすという動作が加わることで食べ物を嚥下しやすいように食塊にするという一連の作業を行うわけです。そして、入れ歯を入れたときの上下の咬み合わせは、残っている上下のペアーの歯を基準として決めます。即ち、残っている上下のペアーの歯が咬む、すりつぶすときに機能が発揮されるわけであり、同時に欠損部もその力に対して抵抗源となることは言うまでもありません。
このような不利な状況への解決策として残っている全ての歯を冠により連結し、さらにそれに入れ歯を一体化させることで、咬む力に対して動かないような入れ歯の症例を考案してみました。
症例 E4 少数歯残存歯に対するコーヌスクローネ入れ歯の症例
残っている歯が少ない場合は、歯と入れ歯を強固に一体化することで咬む力に対してより安定が得られます。、このような症例に対してコーヌスクローネ入れ歯という特別な入れ歯を設計します。尚、コーヌスクローネとは望遠鏡を意味します。丁度、茶筒のフタをすることで強い維持が得られるのと同じような目的をもった入れ歯です。
コーヌスクローネ入れ歯の利点は残っている歯に小さめの金属の冠(内冠)を装着し、入れ歯にその内冠にしっかりおさまる冠(外冠)をとりつけます。そうすることで歯も入れ歯も全く動かないようになります。さらに入れ歯と歯槽堤を精密に接するようにすることでさらなる安定感が得られます。また、入れ歯を支えるクラスプ(金属の維持装置)も使わないため、より審美的にすぐれています。

1986.6 初診 |

上4本、下5本の歯に内冠装着 |

コーヌスクローネ部分入れ歯装着 |

治療終了 右側 |

左側 |
症例 E5 上の歯の片側の臼歯4本の欠損症例
下の歯はブリッジ(6本欠損)治療を行いました。上の歯は片側臼歯4本欠損(小臼歯2本、大臼歯2本)のため噛む力により入れ歯が沈み込まないように反対側に安定源を求め、さらに床を大きめにすることで、より安定を求めた設計を考案しました。
入れ歯装着後1か月程は床が気になった様子でしたが、食事の際は右も左も同じように食べられるとのことでした。部分入れ歯装着後約10年経過し、ご自身の生きた臓器のように使っていただいているようです。
症例 E6 残存歯の連結冠の一部と入れ歯をアタッチメント(はめ込み固定)にする固定化を図った入れ歯症例
下の歯の残存歯は、軽い動揺がが認められるため、その残存歯を連結冠で固定し、その左右の両端に入れ歯の固定源を作成することで残存歯と入れ歯の一体化を期待しました。
症例 E7 下の残存歯4本、上全歯欠損症例
下の歯4本残存し、上はすべての歯を失っているため、食事の際どうしても残っている下の4本の前歯、即ち歯の前方で噛むようになってしまいます。そのため入れ歯の後方が上下とも浮き上がってしまいます。
その予防策として下の入れ歯を前歯の冠に強固にはめ込み、動かないような設計を考えました。その結果、後方で食べ物を噛むことにほとんど違和感がなく、入れ歯の安定化が図れました。
 |
 |
| 治療終了。 |
下の前歯4本に入れ歯を強固にはめ込む装置をつけ、さらに4本の連結冠を作成し入れ歯を固定した。 |
 |
 |
| 作成した入れ歯。 |
連結冠と入れ歯を装着。 |
 |
 |
| 下の4本の歯の連結冠(舌側) |
4本の連結冠を装着。 |
 |
 |
| 連結冠と入れ歯(舌側) |
装着後(舌側) |
| 入れ歯の患者学 目白若林歯科歯周病研究所 03-3954-6681 |
|